Aqui pode conhecer as candidaturas seleccionadas pelo júri do Prémio de Imagem Endoscópica 2018 para votação pelos sócios.
Os vencedores estão assinalados.
Error
SPED - Edição 2018
An uncommon diagnosis done by colonoscopy
Fotografia
Colocolic intussusception
Fotografia
Diaphragm disease: Non-Steroidal Anti-Inflammatory Drug - Induced Enteropathy
Fotografia
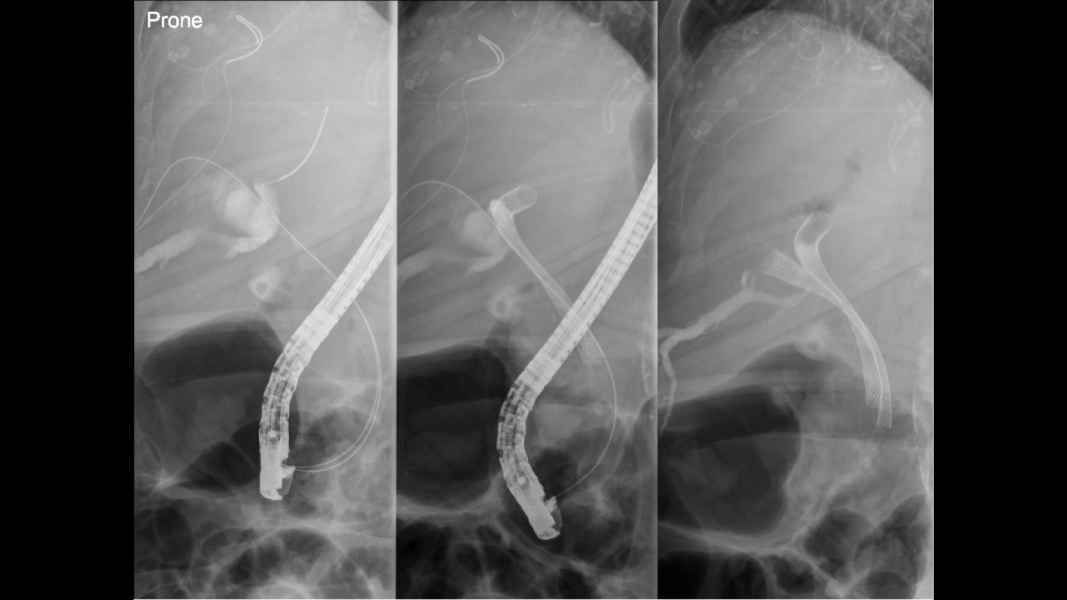
Estenose de Anastomose Hepatico-jejunal com litíase intra-hepática – Tratamento por CPRE com Enteroscópio
Fotografia
Hiperplasia nodular linfoide do recto
Fotografia
Verrucous carcinoma of the esophagus: A rare diagnosis
Fotografia
A Sea of polyps
Fotografia
An unusual cause of upper gastrointestinal bleeding and small bowel obstruction
Fotografia
Hybrid-ESD of a recurrent superficial esophageal cancer
Fotografia
Piecemeal endoscopic mucosal resection assisted with Endocuff Vision®
Fotografia
An unusual endoscopic presentation in chronic diarrhea
Fotografia
Gastric anisakiasis: be careful with raw fish!
Fotografia
Mucocele of the appendix - unexpected diagnosis in colonoscopy
Fotografia
Paracolic intra-abdominal abscess diagnosed and treated through colonoscopy
Fotografia
Cálculo impactado no coto cístico - tratamento por litotrícia guiada por colangioscopia
Fotografia
Endoscopic removal of an eroded gastric band using conventional devices
Vídeo
Through the needle wall biopsy in pancreatic cystic lesions
Vídeo
Underwater Endoscopic Mucosal Resection of a Lateral Spreading Tumor Overlying an Endoscopic Carbon Tattoo
Vídeo
Underwater Endoscopic Mucosal Resection
Vídeo
Endoscopic Palliation of Hilar Colangiocarcinoma – Usefulness of Selective Occlusion of One Intrahepatic Duct
Vídeo


